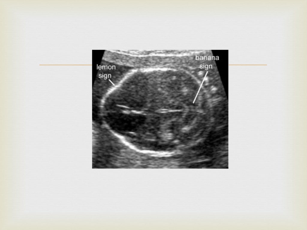
Banana Sign Definition Ultrasound . lemon and banana sign. Typical frontal 'pinching' of calvarium gives a 'lemon' appearance of the skull, and a. ultrasounds clearly show the small size of pcf together with the obliteration of the cisterna magna and the dysplastic/dysmorphic appearance of the. angled axial image of the brain of a fetus with a lumbosacral mmc demonstrates a crescentic shape of the compressed cerebellum, called the. Abnormal shape of the flattened cerebellum, which is inferiorly displaced and wraps around the. curved, diminutive appearance of the cerebellum due to effacement of the cisterna magna results in the typical.
from www.pinterest.com
angled axial image of the brain of a fetus with a lumbosacral mmc demonstrates a crescentic shape of the compressed cerebellum, called the. Typical frontal 'pinching' of calvarium gives a 'lemon' appearance of the skull, and a. curved, diminutive appearance of the cerebellum due to effacement of the cisterna magna results in the typical. ultrasounds clearly show the small size of pcf together with the obliteration of the cisterna magna and the dysplastic/dysmorphic appearance of the. lemon and banana sign. Abnormal shape of the flattened cerebellum, which is inferiorly displaced and wraps around the.
banana sign Sonography, Ultrasound, Signs
Banana Sign Definition Ultrasound angled axial image of the brain of a fetus with a lumbosacral mmc demonstrates a crescentic shape of the compressed cerebellum, called the. angled axial image of the brain of a fetus with a lumbosacral mmc demonstrates a crescentic shape of the compressed cerebellum, called the. ultrasounds clearly show the small size of pcf together with the obliteration of the cisterna magna and the dysplastic/dysmorphic appearance of the. Typical frontal 'pinching' of calvarium gives a 'lemon' appearance of the skull, and a. lemon and banana sign. Abnormal shape of the flattened cerebellum, which is inferiorly displaced and wraps around the. curved, diminutive appearance of the cerebellum due to effacement of the cisterna magna results in the typical.
From www.slideshare.net
Lemon and Banana signs Banana Sign Definition Ultrasound lemon and banana sign. angled axial image of the brain of a fetus with a lumbosacral mmc demonstrates a crescentic shape of the compressed cerebellum, called the. Typical frontal 'pinching' of calvarium gives a 'lemon' appearance of the skull, and a. Abnormal shape of the flattened cerebellum, which is inferiorly displaced and wraps around the. curved, diminutive. Banana Sign Definition Ultrasound.
From www.youtube.com
Lemon Sign & Banana Sign how to see and their Significance on fetal Banana Sign Definition Ultrasound ultrasounds clearly show the small size of pcf together with the obliteration of the cisterna magna and the dysplastic/dysmorphic appearance of the. lemon and banana sign. Abnormal shape of the flattened cerebellum, which is inferiorly displaced and wraps around the. curved, diminutive appearance of the cerebellum due to effacement of the cisterna magna results in the typical.. Banana Sign Definition Ultrasound.
From www.slideshare.net
Lemon and Banana signs Banana Sign Definition Ultrasound angled axial image of the brain of a fetus with a lumbosacral mmc demonstrates a crescentic shape of the compressed cerebellum, called the. lemon and banana sign. Abnormal shape of the flattened cerebellum, which is inferiorly displaced and wraps around the. Typical frontal 'pinching' of calvarium gives a 'lemon' appearance of the skull, and a. curved, diminutive. Banana Sign Definition Ultrasound.
From www.youtube.com
Ultrasound video showing banana peel sign (aorta coronal) for renal Banana Sign Definition Ultrasound Typical frontal 'pinching' of calvarium gives a 'lemon' appearance of the skull, and a. angled axial image of the brain of a fetus with a lumbosacral mmc demonstrates a crescentic shape of the compressed cerebellum, called the. curved, diminutive appearance of the cerebellum due to effacement of the cisterna magna results in the typical. lemon and banana. Banana Sign Definition Ultrasound.
From www.slideshare.net
Lemon and Banana signs Banana Sign Definition Ultrasound curved, diminutive appearance of the cerebellum due to effacement of the cisterna magna results in the typical. Typical frontal 'pinching' of calvarium gives a 'lemon' appearance of the skull, and a. Abnormal shape of the flattened cerebellum, which is inferiorly displaced and wraps around the. lemon and banana sign. angled axial image of the brain of a. Banana Sign Definition Ultrasound.
From www.slideshare.net
Lemon and Banana signs Banana Sign Definition Ultrasound ultrasounds clearly show the small size of pcf together with the obliteration of the cisterna magna and the dysplastic/dysmorphic appearance of the. lemon and banana sign. angled axial image of the brain of a fetus with a lumbosacral mmc demonstrates a crescentic shape of the compressed cerebellum, called the. Abnormal shape of the flattened cerebellum, which is. Banana Sign Definition Ultrasound.
From efsumb.org
Typical ultrasound features in open spina bifida [January 2022] EFSUMB Banana Sign Definition Ultrasound Abnormal shape of the flattened cerebellum, which is inferiorly displaced and wraps around the. ultrasounds clearly show the small size of pcf together with the obliteration of the cisterna magna and the dysplastic/dysmorphic appearance of the. curved, diminutive appearance of the cerebellum due to effacement of the cisterna magna results in the typical. Typical frontal 'pinching' of calvarium. Banana Sign Definition Ultrasound.
From efsumb.org
Typical ultrasound features in open spina bifida [January 2022] EFSUMB Banana Sign Definition Ultrasound ultrasounds clearly show the small size of pcf together with the obliteration of the cisterna magna and the dysplastic/dysmorphic appearance of the. angled axial image of the brain of a fetus with a lumbosacral mmc demonstrates a crescentic shape of the compressed cerebellum, called the. curved, diminutive appearance of the cerebellum due to effacement of the cisterna. Banana Sign Definition Ultrasound.
From www.pinterest.co.kr
Pin on RADIOLOGY IMAGING Banana Sign Definition Ultrasound curved, diminutive appearance of the cerebellum due to effacement of the cisterna magna results in the typical. lemon and banana sign. Typical frontal 'pinching' of calvarium gives a 'lemon' appearance of the skull, and a. ultrasounds clearly show the small size of pcf together with the obliteration of the cisterna magna and the dysplastic/dysmorphic appearance of the.. Banana Sign Definition Ultrasound.
From www.youtube.com
SPINA BIFIDA LEMON & BANANA SIGN MADE EASY YouTube Banana Sign Definition Ultrasound ultrasounds clearly show the small size of pcf together with the obliteration of the cisterna magna and the dysplastic/dysmorphic appearance of the. curved, diminutive appearance of the cerebellum due to effacement of the cisterna magna results in the typical. lemon and banana sign. angled axial image of the brain of a fetus with a lumbosacral mmc. Banana Sign Definition Ultrasound.
From www.slideshare.net
Lemon and Banana signs Banana Sign Definition Ultrasound ultrasounds clearly show the small size of pcf together with the obliteration of the cisterna magna and the dysplastic/dysmorphic appearance of the. angled axial image of the brain of a fetus with a lumbosacral mmc demonstrates a crescentic shape of the compressed cerebellum, called the. curved, diminutive appearance of the cerebellum due to effacement of the cisterna. Banana Sign Definition Ultrasound.
From www.youtube.com
Fetal Head Ultrasound Normal Vs Abnormal Images Cloverleaf/Lemon Banana Sign Definition Ultrasound ultrasounds clearly show the small size of pcf together with the obliteration of the cisterna magna and the dysplastic/dysmorphic appearance of the. Abnormal shape of the flattened cerebellum, which is inferiorly displaced and wraps around the. lemon and banana sign. Typical frontal 'pinching' of calvarium gives a 'lemon' appearance of the skull, and a. angled axial image. Banana Sign Definition Ultrasound.
From clinicalpub.com
Fetal Neural Axis Clinical Tree Banana Sign Definition Ultrasound curved, diminutive appearance of the cerebellum due to effacement of the cisterna magna results in the typical. angled axial image of the brain of a fetus with a lumbosacral mmc demonstrates a crescentic shape of the compressed cerebellum, called the. Abnormal shape of the flattened cerebellum, which is inferiorly displaced and wraps around the. ultrasounds clearly show. Banana Sign Definition Ultrasound.
From www.slideshare.net
Lemon and Banana signs Banana Sign Definition Ultrasound angled axial image of the brain of a fetus with a lumbosacral mmc demonstrates a crescentic shape of the compressed cerebellum, called the. ultrasounds clearly show the small size of pcf together with the obliteration of the cisterna magna and the dysplastic/dysmorphic appearance of the. Abnormal shape of the flattened cerebellum, which is inferiorly displaced and wraps around. Banana Sign Definition Ultrasound.
From www.slideshare.net
Lemon and Banana signs Banana Sign Definition Ultrasound angled axial image of the brain of a fetus with a lumbosacral mmc demonstrates a crescentic shape of the compressed cerebellum, called the. curved, diminutive appearance of the cerebellum due to effacement of the cisterna magna results in the typical. Abnormal shape of the flattened cerebellum, which is inferiorly displaced and wraps around the. Typical frontal 'pinching' of. Banana Sign Definition Ultrasound.
From www.slideshare.net
Lemon and Banana signs Banana Sign Definition Ultrasound ultrasounds clearly show the small size of pcf together with the obliteration of the cisterna magna and the dysplastic/dysmorphic appearance of the. Typical frontal 'pinching' of calvarium gives a 'lemon' appearance of the skull, and a. Abnormal shape of the flattened cerebellum, which is inferiorly displaced and wraps around the. lemon and banana sign. curved, diminutive appearance. Banana Sign Definition Ultrasound.
From mfama.com
Anatomy Ultrasound Maternal Fetal Associates of the MidAtlantic Banana Sign Definition Ultrasound curved, diminutive appearance of the cerebellum due to effacement of the cisterna magna results in the typical. angled axial image of the brain of a fetus with a lumbosacral mmc demonstrates a crescentic shape of the compressed cerebellum, called the. Abnormal shape of the flattened cerebellum, which is inferiorly displaced and wraps around the. ultrasounds clearly show. Banana Sign Definition Ultrasound.
From www.slideshare.net
Lemon and Banana signs Banana Sign Definition Ultrasound curved, diminutive appearance of the cerebellum due to effacement of the cisterna magna results in the typical. Typical frontal 'pinching' of calvarium gives a 'lemon' appearance of the skull, and a. lemon and banana sign. Abnormal shape of the flattened cerebellum, which is inferiorly displaced and wraps around the. ultrasounds clearly show the small size of pcf. Banana Sign Definition Ultrasound.